Unser II-Wurf vom Teutoburger Wald ist im Anmarsch!

Unser II-Wurf vom Teutoburger Wald ist im Anmarsch!

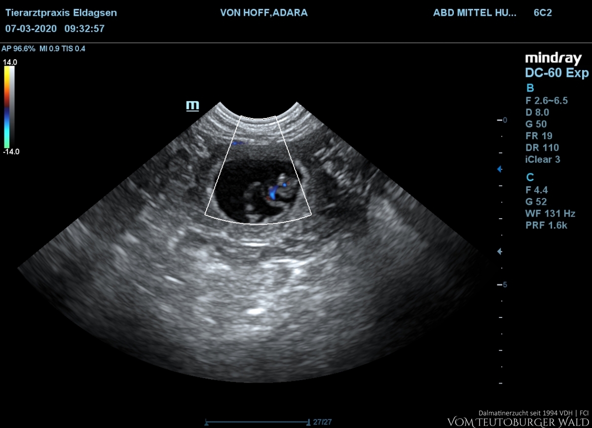
Gemeinsam mit "Adara’s" Miteigentümern, Familie von Hoff, freuen wir uns riesig über das positive Ergebnis des Ultraschalls. Voller Vorfreude möchten wir diesen für uns ganz besonderen Wurf präsentieren.

Mit dieser unserer Ansicht nach sehr viel versprechenden Kombination erhoffen wir uns gesunde, langlebige, äußerst typvolle und standardgerechte weiß-schwarze und weiß-braune Welpen mit erstklassigem Temperament und einer züchterisch sehr interessanten Ahnentafel.

Ausführliche Informationen über unseren II-Wurf vom Teutoburger Wald , wie z. B. 3-Generationen-Foto-Ahnentafel, 5-Generationen-Ahnentafel mit zuchtrelevanten Infos, Charaktereigenschaften, Erscheinungsbild, Ausstellungserfolge, Langlebigkeit der Ahnen, alle zuchtrelevanten Daten und viele schöne Fotos [klick hier]

Unser II-Wurf vom Teutoburger Wald ist im Anmarsch!